当院のダイレクトボンディング治療の特徴
自由診療のコンポジットレジン(CR)をお取扱いしております
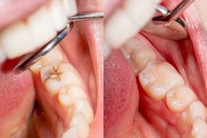
当院では、自費診療での「コンポジットレジン充填(CR充填)」を取り扱っております。「コンポジットレジン(CR)」は、現在虫歯治療などで広く普及している、樹脂製の白い修復用素材です。以前は金属を詰めて治していた虫歯も、近年はコンポジットレジン充填により、短時間で白い歯に修復する治療が一般的になりました。
通常の保険で使うレジンは、吸水性を持つ性質により着色しやすく、時間が経つにつれて劣化し、また強度が弱く欠けやすいといわれています。それに対し、自費診療でのレジンではレジンにセラミックの微粒子を混ぜたものが使用されており、透明感のあるより自然な歯の色を再現でき、変色しにくく強度も強いことが特徴です。

ダイレクトボンディングとは

ダイレクトボンディングは、通常保険適用されるプラスチックとは異なり、審美修復用プラスチックで天然歯のような自然な歯を再現する治療方法です。また、保険適用のプラスチックよりも強度が高く、耐久性に優れているため、見た目の美しさや機能を維持したまま仕上げることができます。
ダイレクトボンディングのメリット・デメリット
メリット
- 1日で治療が終わります来院したその日のうちに修復が完了するので、患者さまの負担も軽減されます。
- 費用を抑えることができるすきっ歯を治すとなると、矯正治療の場合、高額になりますが、ダイレクトボンディングの場合は、比較的安価で費用を抑える事が出来ます。
- さまざまなお悩みに対応可能前歯の変色、前歯のすきっ歯、矮小歯などのさまざまな症例に対応可能です。
デメリット
- 外れる可能性がある前歯の治療の場合には、歯の表面に接着されているので、まれに外れる場合があります。
- 適応できない場合がある奥歯などの強い力が加わる箇所にはダイレクトボンディングは向いていません。
診療の流れ
当院では、保険診療から自由診療まで、お口周りのさまざまなお悩みやご希望にお応えできる歯科医院です。常に患者さま一人ひとりのお気持ちに寄り添い、丁寧でやさしい治療を大事にしています。小さなお子さまからご高齢の方まで、歯やお口のことで少しでも気になることがありましたら、どうぞお気軽に当院へご相談ください。
-
ご来院・受付
ご来院・受付お電話またはWEB、メールにて、お悩みの内容と来院のご希望日時をお伝えください。
※初診の際には「保険証」をご持参の上、ご来院ください。
※ご予約優先の為、直接ご来院の際はお待ちいただくことがありますことをご了承ください。
-
カウンセリング
カウンセリング患者さまとお話するお時間を大切にしています。問診の際には、お口に関するお悩みの点やご希望、そのほか気になることがありましたら、どうぞ遠慮なくなんでもご相談ください。
-
検査
検査症状・必要に応じて各種検査を行い、的確な診査・診断をしてまいります。 (口腔内診査、口腔内写真撮影、X線写真撮影、CT撮影 等)
-
治療計画の説明
治療計画の説明検査の結果や治療内容について、分かりやすく丁寧に説明いたします。治療のメリットやデメリットを含めて詳細に説明し、患者さまにご納得いただいてから治療を進めてまいります。

-
治療
治療当院では患者さまの将来的な健康まで見据え、可能なかぎり削らない・抜かないことを重視した治療を行なっています。麻酔や治療の痛みも極力少なくできるよう、一つひとつを丁寧に治療を進めてまいりますので、どうぞご安心ください。

-
メインテナンス
メインテナンス同じ症状を繰り返すことなく、お口の中の健康を長く保っていくためには、普段の歯磨きなどのセルフケアとあわせて、歯科医院での定期的な検診や専門的なクリーニングを受けることが重要です。当院では、そうした「予防ケア」にも力を入れており、治療後におきましても患者さまのお口の状態やご希望に合わせた方法で、お口の健康づくりを末長くサポートしています。